Diabetes affects more than just blood sugar. Behind the scenes, it quietly damages nerves, organs, and blood vessels, often before symptoms even appear. In this article, we’ll unpack how diabetes affects the body internally, why many people remain unaware of these changes, and how advanced imaging, such as multi-region MRI scans, can help catch complications early, before they become life-threatening.
Diabetes is a growing problem in the UK, with an estimated 4.6 million people currently diagnosed. Type 2 diabetes accounts for 90 per cent of these cases; however, an additional 1.3 million people have not been diagnosed and may be unaware that they are living with type 2 diabetes, with potential dangerous consequences1.
Diabetes is a disease where blood sugar builds up in the blood due to the body not making enough insulin (the hormone needed for sugar to enter cells)2. There are two types of diabetes: type 1, where the body cannot make any insulin, and type 2, where the body cannot make enough insulin or isn’t able to respond to insulin (known as insulin resistance).
Both forms of diabetes are dangerous and can result in serious, potentially life-threatening symptoms if not detected early and carefully managed3.
How Diabetes Affects the Body Internally
Undiagnosed or poorly managed diabetes has the potential to cause damage to the body. However, symptoms are often not present or obvious early in the disease, resulting in delayed diagnosis and treatment.
Damage to Blood Vessels and Circulation
High levels of sugar in the blood cause damage to both small and large blood vessels, resulting in major complications. The mechanisms through which damage occurs include:
- Excess glucose in the blood sticks to proteins, causing the production of advanced glycation end-products (AGEs). AGEs can bind to key proteins forming blood vessel walls, affecting blood vessel stiffness and ability to dilate4.
- Persistent high blood glucose levels cause the increased production of reactive oxygen species and oxidative stress5.
- High blood glucose levels and increased oxidative stress can both lead to inflammation, which contributes to the formation of plaques in blood vessel walls (atherosclerosis)6.
This damage to the blood vessel walls increases atherosclerosis, causes high blood pressure (through blood vessel wall thickening), and can increase the likelihood of blood clotting7. As a result, people with diabetes are at an increased risk of heart disease and stroke.
Nerve Damage (Neuropathy)
Chronically high blood glucose levels can cause the activation of harmful cell signalling pathways and the production of AGEs, leading to direct damage to nerve fibres8. In addition, damage to small blood vessels can reduce blood flow to nerves, resulting in insufficient oxygen and nutrients; over time, this can also contribute to nerve damage and death9.
Neuropathy symptoms may be very subtle to start with, and the gradual worsening (as opposed to sudden changes) results in the brain adapting. As a result, people often do not realise that they have a problem until the neuropathy is further advanced. Long nerves are most at risk of damage, explaining why neuropathy symptoms (numbness, tingling, pain) often begin in the toes and feet10.
Impact on Organs
The damaging effect of high blood glucose on blood vessels can also severely affect other organs, including:
- Heart – damage to the blood vessels increases blood pressure, putting strain on the heart and increasing the risk of coronary heart disease11.
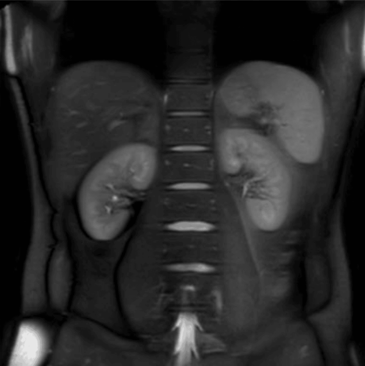
- Kidneys – damage to the small blood vessels in the kidney, which are essential for effective filtration, can cause kidney disease12.
- Eyes – the eyes also contain small blood vessels, which supply blood to the retina. Damage to these blood vessels can harm the retina, resulting in diabetic retinopathy, which can lead to blindness if not treated.
The damage often begins without any symptoms. As a result, issues may only be identified when the damage is advanced, making them more difficult to treat.
The Role of Advanced Imaging in Revealing Hidden Complications
The silent nature of many diabetes complications can worsen the outcome and delay individuals receiving treatment. Therefore, it is very important to consider how to detect such complications early.
What Multi-Region MRI Can Detect
Multi-region magnetic resonance imaging (MRI) can produce images of multiple parts of the body during one MRI scan. MRIs can detect inflammation and fibrosis (fibroinflammation) in the kidneys, liver, and pancreas, can identify abnormalities that could indicate peripheral neuropathy, and can identify potential issues in many organs13,14.
The use of multi-region MRIs enables the screening for many conditions within one scan, allowing any issues to be caught early, potentially before symptoms appear.
Benefits Over Traditional Testing
MRIs are a safe, non-invasive method of imaging the body. MRI uses magnetic fields and bursts of radio waves to produce images, as opposed to ionising radiation15. Consequently, MRIs are safer for carrying out routine screening, as the body is not subjected to harmful repeated exposure to radiation16.
MRIs produce highly detailed images, particularly of soft tissues, enabling the early detection of subtle abnormalities17. This allows potential issues to be identified as early as possible, even before the appearance of symptoms.
When Imaging Should Be Considered
Introducing routine imaging into your preventative health programme may be of particular benefit to certain groups of people, including:
- High-risk individuals – individuals at high risk of developing diabetes complications, due to conditions such as pre-existing high blood pressure or a family history of heart disease, should consider routine imaging to detect problems as early as possible.
- Individuals with long-standing diabetes – individuals who have had diabetes for a long time are at a greater risk of complications, making imaging an effective method of early detection.
- Individuals with a history of complications or comorbidities – individuals who have previously been diagnosed with a diabetes complication are at a higher risk of developing further complications. Imaging could detect any additional complications as early as possible, improving outcomes.
The Importance of Early Detection and Proactive Monitoring
Why Catching Damage Early Matters
The early detection of diabetes complications is important to improving outcomes. If caught early, medical professionals can advise on treatment and lifestyle adjustments to prevent further damage. If caught late, the damage may be irreversible and could lead to serious health outcomes, such as kidney disease, heart disease, or blindness.
Empowering Patients Through Insights
Proactive monitoring using routine imaging can help medical professionals obtain a detailed understanding of an individual’s health status, including identifying any abnormalities early. The identification of issues enables the tailoring of treatment plans to the individual, improving outcomes.
Ezra’s Approach to Preventative Screening
Ezra’s healthcare approach is focused on preventative screening. The aim is to identify potential abnormalities early, enabling action to be taken to prevent the complication from developing in the first place or to prevent further damage through treatment.
Ezra’s multi-region MRI scan allows individuals to be proactive about their health, increasing the likelihood of identifying potential abnormalities early so as to decrease the likelihood of complications occurring.
Summary
Untreated or poorly managed diabetes puts individuals at risk of serious complications due to the detrimental effects of high blood sugar on multiple systems within the body. Identifying complications early reduces the risk of their developing into serious health issues. However, the early stages of complication development are often silent or have very subtle symptoms, resulting in failure to diagnose, delayed treatment, and poorer outcomes. Multi-organ imaging can identify potential abnormalities early, in some cases before symptoms have appeared, enabling early treatment and the prevention of serious complications. As such, they are important tools for those who are proactive about their health.
If you want to take charge of your health, why not book an Ezra MRI scan? Our annual scan identifies abnormalities early by leveraging AI through the screening process, making it efficient, affordable, and fast.
Understand your risk for cancer with our 5 minute quiz.
Our scan is designed to detect potential cancer early.
References
1. How many people in the UK have diabetes? Diabetes UK. Accessed November 27, 2025. https://www.diabetes.org.uk/about-us/about-the-charity/our-strategy/statistics
2. About diabetes. Diabetes UK. Accessed November 27, 2025. https://www.diabetes.org.uk/about-diabetes
3. Diabetes. nhs.uk. July 1, 2025. Accessed November 27, 2025. https://nhsuk-cms-fde-prod-uks-dybwftgwcqgsdmfh.a03.azurefd.net/conditions/diabetes/
4. Li Y, Liu Y, Liu S, et al. Diabetic vascular diseases: molecular mechanisms and therapeutic strategies. Sig Transduct Target Ther. 2023;8(1):152. doi:10.1038/s41392-023-01400-z
5. Giacco F, Brownlee M. Oxidative stress and diabetic complications. Circ Res. 2010;107(9):1058-1070. doi:10.1161/CIRCRESAHA.110.223545
6. Ajoolabady A, Pratico D, Lin L, et al. Inflammation in atherosclerosis: pathophysiology and mechanisms. Cell Death Dis. 2024;15(11):817. doi:10.1038/s41419-024-07166-8
7. Pechlivani N, Ajjan RA. Thrombosis and Vascular Inflammation in Diabetes: Mechanisms and Potential Therapeutic Targets. Front Cardiovasc Med. 2018;5. doi:10.3389/fcvm.2018.00001
8. Yagihashi S, Mizukami H, Sugimoto K. Mechanism of diabetic neuropathy: Where are we now and where to go? J Diabetes Investig. 2011;2(1):18-32. doi:10.1111/j.2040-1124.2010.00070.x
9. Diabetic neuropathy (nerve damage). Diabetes UK. Accessed November 27, 2025. https://www.diabetes.org.uk/about-diabetes/looking-after-diabetes/complications/nerves-neuropathy
10. Peripheral neuropathy. nhs.uk. October 23, 2017. Accessed November 27, 2025. https://nhsuk-cms-fde-prod-uks-dybwftgwcqgsdmfh.a03.azurefd.net/conditions/peripheral-neuropathy/
11. Complications of type 2 diabetes. nhs.uk. February 19, 2025. Accessed November 27, 2025. https://nhsuk-cms-fde-prod-uks-dybwftgwcqgsdmfh.a03.azurefd.net/conditions/type-2-diabetes/complications/
12. Diabetes and the kidney. National Kidney Federation. March 29, 2019. Accessed November 27, 2025. https://www.kidney.org.uk/diabetes
13. Diamond C, Pansini M, Hamid A, et al. Quantitative Imaging Reveals Steatosis and Fibroinflammation in Multiple Organs in People With Type 2 Diabetes: A Real-World Study. Diabetes. 2024;73(8):1285-1299. doi:10.2337/db23-0926
14. Vaeggemose M, Pham M, Ringgaard S, et al. Magnetic Resonance Neurography Visualizes Abnormalities in Sciatic and Tibial Nerves in Patients With Type 1 Diabetes and Neuropathy. Diabetes. 2017;66(7):1779-1788. doi:10.2337/db16-1049
15. Vijayalaxmi, Fatahi M, Speck O. Magnetic resonance imaging (MRI): A review of genetic damage investigations. Mutation Research/Reviews in Mutation Research. 2015;764:51-63. doi:10.1016/j.mrrev.2015.02.002
16. Radiology - Magnetic Resonance Imaging (MRI) Scan :: Northern Care Alliance. Accessed November 27, 2025. https://www.northerncarealliance.nhs.uk/patient-information/patient-leaflets/radiology-magnetic-resonance-imaging-mri-scan?q=%2Fpatient-information%2Fpatient-leaflets%2Fradiology-magnetic-resonance-imaging-mri-scan
17. Hussain S, Mubeen I, Ullah N, et al. Modern Diagnostic Imaging Technique Applications and Risk Factors in the Medical Field: A Review. Biomed Res Int. 2022;2022:5164970. doi:10.1155/2022/5164970
.png)